Thứ sáu 05/12/2025 22:18
Hotline:
092.924.24.24
E-mail:
phapluattuoitre@gmail.com
Đọc báo giấy TTTĐ
Tuổi trẻ thủ đô online
Khởi nghiệp trẻ
congan.hanoi.gov.vn
Thời sự
Chính trị
Xã hội
Phân tích - Bình luận
Giới trẻ
Đoàn - Đội
Genz
Hot trend
Kinh tế
Thị trường - Tiêu dùng
Tài chính - Doanh nghiệp
Bất động sản
Pháp luật
An ninh trật tự
Bảo vệ người tiêu dùng
Nhịp cầu bạn đọc
Giải trí
Thể thao
Văn hóa
Du lịch
Tri thức
Khoa học - Công nghệ
Giáo dục
Câu chuyện học đường
Sức khỏe
Tin Y tế
Khỏe - Đẹp
Y học bốn phương
Video
Cộng đồng mạng
Cười
Khám phá
Trang chủ
/
Tags
/
Tác hại thuốc lá
Tác hại thuốc lá
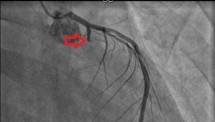
Chàng trai 25 tuổi nhồi máu cơ tim vì hút 20 điếu thuốc lá mỗi ngày
Mới đây, các bác sĩ Bệnh viện Nhân dân 115 (TP.HCM) vừa cấp cứu cho nam bệnh nhân bị nhồi máu cơ tim cấp khi chỉ mới 25 tuổi.
Đọc nhiều
Mất tiền oan vì đăng ký xuất khẩu lao động trên mạng
Cấp bách phải xác lập mô hình tăng trưởng mới trong văn kiện Đại hội XIV
Thống nhất mở rộng bổ nhiệm thẩm phán là người nước ngoài tại tòa án chuyên biệt
Cảng hàng không quốc tế Nội Bài hoàn thành “nhiệm vụ kép” với T2 mở rộng
Quốc hội thông qua Luật Thi hành án dân sự (sửa đổi)
Chuyên đề
[Xem thêm]
BẦU CỬ ĐẠI BIỂU QUỐC HỘI KHÓA XVI VÀ HĐND CÁC CẤP NHIỆM KỲ 2026-2031
ĐẠI HỘI XIV CỦA ĐẢNG
BỘ TỨ NGHỊ QUYẾT TRỤ CỘT
KỲ HỌP THỨ 10, QUỐC HỘI KHÓA XV
CÁCH MẠNG TINH GỌN BỘ MÁY
Thời sự
Giới trẻ
Kinh tế
Pháp luật
Giải trí
Tri thức
Sức khỏe
Video
Based on MasterCMS - Ultimate edition V2.9 2025
Phiên bản di động