Bệnh nhân 57 tuổi ở Đắk Lắk nhập viện trong tình trạng ho kéo dài 2 năm, kèm khạc đờm và sốt tái phát nhiều lần. Dù đã đi khám ở nhiều cơ sở y ...
Một nghiên cứu mới cho thấy các sản phẩm có hương thơm có thể gây ô nhiễm không khí trong nhà ngang bằng hoặc thậm chí nghiêm trọng hơn khí thải ô tô.
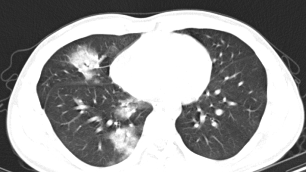
Thời gian qua, khoa Nội hô hấp - Tiêu hóa, Bệnh viện đa khoa tỉnh Phú Thọ đã tiếp nhận một trường hợp bệnh nhân nam 16 tuổi, được chẩn đoán mắc viêm phổi, có ...
Nhập viện điều trị viêm phổi nặng các bác sĩ Bệnh viện Nhi đồng Thành phố (TP.HCM) cấp cứu bằng kỹ thuật trao đổi oxy màng ngoài cơ thể - ECMO.


