Hạt hồng xiêm trong phổi khiến người đàn ông ho suốt 2 năm
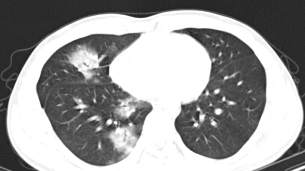
Tại Bệnh viện Đại học Y Dược Buôn Ma Thuột, kết quả chụp CT ngực cho thấy nghi ngờ có dị vật ở thùy phổi phải. Bệnh nhân sau đó được chuyển đến Bệnh viện Đa khoa vùng Tây Nguyên để điều trị.
Theo bác sĩ CKII Đào Anh Dũng, Trưởng khoa Ngoại Tổng hợp, hình ảnh CT và thăm khám lâm sàng cho thấy phổi phải của bệnh nhân có dấu hiệu viêm mạn tính, nhiều khả năng do dị vật gây ra. Ekip tiến hành nội soi phế quản và phát hiện một hạt hồng xiêm nằm ở thùy dưới phổi phải. Dị vật được gắp ra thành công sau gần 2 giờ làm thủ thuật.
![]() |
| Hạt hồng xiêm được gắp từ phổi bệnh nhân |
Ngay sau can thiệp, bệnh nhân hồi phục nhanh, không còn ho và cảm thấy dễ chịu rõ rệt. Hiện sức khỏe ông đã ổn định và được theo dõi sau thủ thuật.
Bác sĩ Đào Anh Dũng cho biết: "Nội soi phế quản là kỹ thuật chuyên sâu, cần bác sĩ giàu kinh nghiệm và hệ thống máy móc hiện đại. Nếu không xử trí kịp thời, dị vật đường thở có thể gây viêm phổi mạn tính, xẹp phổi, áp xe phổi, thậm chí nguy hiểm tính mạng".
Các bác sĩ khuyến cáo, người dân, đặc biệt là trẻ em và người cao tuổi cần thận trọng khi ăn uống để tránh hóc dị vật. Khi có biểu hiện bất thường đường hô hấp kéo dài, cần đến cơ sở y tế chuyên khoa để được thăm khám và xử trí kịp thời.



