Xuất huyết não do hút shisha liên tục một năm
| Bệnh nhân tổn thương mạch máu não sau chấn thương sọ não Cụ bà bật ngửa vỡ mạch máu não ngay trước mặt bác sĩ Thói quen khiến giới trẻ dễ đột tử vì tai biến mạch máu não |
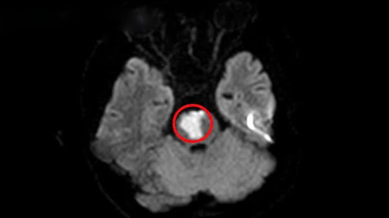
Đây là một trường hợp bệnh nhân đột quỵ vừa được Bệnh viện Nhân dân 115 (TP Hồ Chí Minh) chẩn đoán kịp thời giúp hồi phục hoàn toàn.
Theo đó, bệnh nhân có thói quen hút shisha thường xuyên và ngày càng tăng dần trong suốt một năm vừa qua.
Nhờ chẩn đoán kịp thời và điều trị đặc hiệu bằng thuốc kháng đông, người bệnh đã phục hồi hoàn toàn.
![]() |
| Tổ chức Y tế thế giới (WHO) và Trung tâm Kiểm soát và Phòng ngừa dịch bệnh đã cảnh báo shisha gây hại cho hệ tim mạch tương tự hoặc hơn thuốc lá, bao gồm nguy cơ huyết khối |
Theo thông tin chia sẻ của PGS.TS.BS Nguyễn Huy Thắng - Trưởng Khoa Bệnh lý mạch máu não Bệnh viện Nhân dân 115, huyết khối tĩnh mạch (venous thrombosis) xảy ra khi cục máu đông hình thành trong tĩnh mạch, thường ở chân hoặc có thể di chuyển đến phổi. Nếu xảy ra ở các tĩnh mạch khác, như tĩnh mạch não, nó được gọi là huyết khối tĩnh mạch não. Đây là một tình trạng nguy hiểm, có thể dẫn đến biến chứng nghiêm trọng như đột quỵ hoặc tử vong.
Hút shisha làm tăng nguy cơ tạo huyết khối bởi trong khói shisha chứa nicotine và carbon monoxide (CO). Nicotine kích thích giải phóng các yếu tố đông máu, làm máu dễ đông hơn (trạng thái tăng đông). Còn CO làm giảm oxy trong máu, gây stress cho hệ tuần hoàn và thúc đẩy hình thành cục máu đông. Theo nghiên cứu từ Tổ chức Y tế thế giới (WHO), một buổi hút shisha (khoảng 1 giờ) khiến người dùng hít lượng CO gấp 9 lần và nicotine gấp 1,7 lần so với một điếu thuốc lá.
Bên cạnh đó, các chất độc trong khói shisha như kim loại nặng (chì, cadmium) và hợp chất hữu cơ độc hại, gây viêm, tổn thương nội mạc tĩnh mạch. Thành mạch bị tổn thương là nơi lý tưởng để cục máu đông bám vào và phát triển. Hút shisha thường diễn ra trong thời gian dài và ở tư thế ngồi, ít vận động làm chậm lưu thông máu, đặc biệt ở tĩnh mạch chân, tạo điều kiện cho huyết khối hình thành. Đây là yếu tố quan trọng trong “tam giác Virchow” (tăng đông, tổn thương mạch, ứ trệ máu).



