Nguy kịch vì chế tạo pháo bằng máy xay sinh tố
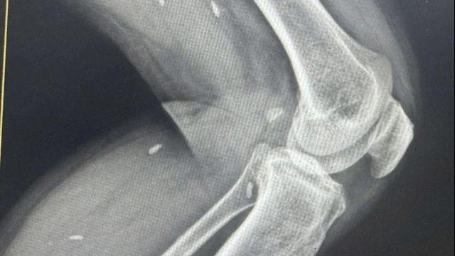
Được biết, chiều ngày 8/1, hai em P.V.G.B. (14 tuổi) và em N.V.H. (15 tuổi) cùng ở tỉnh Lâm Đồng cùng nhau chế pháo tại nhà. Các em đã sử dụng máy xay sinh tố bằng thủy tinh để trộn thuốc. Ngay khi vừa bật máy xay, hỗn hợp thuốc phát nổ khiến các mảnh vỡ thủy tinh máy xay ghim sâu vào người 2 bé đặc biệt là từ vùng chậu trở lên. Nghe tiếng nổ lớn, người nhà chạy vào phát hiện vụ việc và đưa 2 bệnh nhi cấp cứu tại Bệnh viện II Lâm Đồng.
Tại bệnh viện, hai bệnh nhân mê man, da niêm nhạt màu, nhiều vết thương phức tạp, thấu bụng, thấu khí quản, thủng ruột, rách gan, nhiều vết thương ở ngực... Do tình trạng của 2 bệnh nhi tiên lượng nặng nên bệnh viện đã tiến hành đặt nội khí quản và cho chuyển cấp cứu xuống Bệnh viện Nhi đồng 2.
![]() |
| Nguy kịch do học cách chế pháo bằng máy xay sinh tố trên mạng xã hội |
Theo Trưởng khoa cấp cứu Bệnh viện Nhi Đồng 2, hai bệnh nhi nhập viện trong giờ thứ 5 của bệnh (khoảng 21h) trong tình trạng tổn thương đa cơ quan, hai trẻ quấy, kích thích, cử động tay chân, mạch bắt nhẹ, hỗ trợ thở bằng bóp bóng, chấn thương hai mắt, tổn thương nhãn cầu, rách giác mạc, không khảo sát được đồng tử, bụng mềm, ấn đau, vết thương vùng cổ có rò khí, rách gan, rách ruột... khiến bệnh nhi rơi vào tình trạng nguy kịch.
“Hai bệnh nhi nhanh chóng được cấp cứu, hội chuẩn liên chuyên khoa, hội chẩn toàn viện và tiến hành truyền dịch chống sốc, trợ tim, vận mạch, kháng sinh phổ rộng... Ngay sau đó, 2 em đã được phẫu thuật thám sát. Ca mổ kéo dài 11 tiếng để lấy các dị vật ở vùng mắt, bụng, phổi... và khâu liền giác mạc, khí quản, ruột, cắt lọc da hoại tử cho bệnh nhi”, BS.CK2 Phạm Thái Sơn, Trưởng khoa Hồi sức tích cực và Chống độc Bệnh viện Nhi Đồng 2 TPHCM cho biết.
Hiện cả 2 bệnh nhi đã qua cơn nguy kịch, tỉnh táo, có thể trả lời được. Tuy nhiên, 2 trẻ tiên lượng nặng, có khả năng thời gian tiếp theo các bệnh nhi sẽ phải thực hiện thêm các cuộc phẫu thuật khác để lấy hết các mảnh vỡ còn lại. Thời gian sau bệnh nhi có khả năng chịu nhiều di chứng, ảnh hưởng thị lực, khả năng nhiễm trùng nặng cao...
Các bác sĩ cảnh báo, thời điểm cận tết, trên mạng xã hội xuất hiện rất nhiều trò nguy hiểm. Do đó, phụ huynh và nhà trường cần tăng cường tuyên truyền, giáo dục, giám sát các em không nên thực hiện theo các clip hướng dẫn trên mạng đặc biệt là chế tạo pháo để bảo đảm an toàn.
Mắc thủy đậu nhưng chỉ uống thuốc ở nhà, 2 hôm sau thanh niên phải nhập viện trong tình trạng khó thở, tụt hồng cầu, ... |
Bệnh viện Nhi Đồng 2 (TP.HCM) cho biết đang điều trị cho một bệnh nhi ăn nấm ký sinh trên xác ve sầu dẫn đến ... |
Bệnh viện Bạch Mai đã tham gia hội chẩn và điều trị các bệnh nhân ngộ độc do ăn sâu ban miêu dẫn đến suy ... |



