Ngày 26/1, Bệnh viện Tâm thần Vĩnh Phúc và Trung tâm Công tác xã hội Vĩnh Phúc tổ chức kí kết phối hợp thực hiện công tác chăm sóc, quản lý, khám và điều trị ...
Sáng 26/1, Đoàn công tác của Bộ Y tế do PGS.TS Nguyễn Tri Thức, Thứ trưởng Bộ Y tế làm Trưởng đoàn đã đến thăm và làm việc với ngành Y tế tỉnh Tuyên Quang.
Bộ Y tế yêu cầu các đơn vị khẩn trương rà soát và thông báo người tiêu dùng ngừng sử dụng sữa Aptamil Infant Formula 800g.
Ban Chỉ đạo vận động hiến máu tình nguyện tỉnh Phú Thọ đã ban hành Kế hoạch số 07/KH-BCĐ về công tác tuyên truyền, vận động và tổ chức hiến máu tình nguyện
Công ty TNHH MTV sản xuất dược - mỹ phẩm GAMMA, trụ sở tại TP HCM vừa bị xử lý vi phạm 2 lỗi nghiêm trọng liên quan đến dòng sản phẩm chăm sóc da.
Trung tâm Y tế khu vực Thạch Hãn, tỉnh Quảng Trị cho biết, vừa ghi nhận trường hợp bệnh nhân với nhiều kén sán ở chân.
Bệnh viện Phụ sản – Nhi Đà Nẵng cho biết, các bác sĩ vừa nội soi phế quản cấp cứu, lấy dị vật cho một bệnh nhi 7 tuổi.
Bệnh viện Trung ương Huế thông tin, đơn vị vừa thực hiện thành công ca phẫu thuật cắt bỏ đồng thời hai thận đa nang gần 10 kg ở bệnh nhân suy thận giai đoạn ...
Bệnh viện Đa khoa tỉnh Quảng Trị cho biết, bệnh viện vừa tiếp nhận và điều trị kịp thời cho 3 trẻ nhỏ nghi bị ngộ độc thuốc an thần.
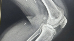
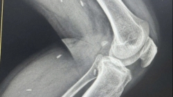
Khoa Chấn thương chỉnh hình - Phẫu thuật tạo hình, thẩm mỹ, Bệnh viện Đa khoa khu vực Bắc Quang (Tuyên Quang) vừa tiếp nhận một trường hợp tai nạn nghiêm trọng liên quan đến ...
Bệnh viện Mắt Trung ương vừa tiếp nhận một trường hợp chấn thương mắt nghiêm trọng do tai nạn khi câu cá, nạn nhân là bệnh nhân 15 tuổi, trú tại tỉnh Phú Thọ.
Cục Quản lý Dược (Bộ Y tế) vừa ban hành Quyết định số 30/QĐ-QLD về việc đình chỉ lưu hành, thu hồi các sản phẩm mỹ phẩm không đạt yêu cầu an toàn.
Mới đây, Phòng Cảnh sát kinh tế, CATP Hà Nội vừa phối hợp Chi cục quản lý thị trường Hà Nội phát hiện, thu giữ 10 tấn thực phẩm.
Nam bệnh nhân 20 tuổi đang làm việc trên đảo Sinh Tồn (Đặc khu Trường Sa) thì đột ngột xuất hiện cơn co giật toàn thân, sốt cao, sau đó rối loạn ý thức, hôn ...
Bệnh viện Đa khoa tỉnh Sơn La vừa cấp cứu và điều trị thành công một trường hợp ngộ độc Paracetamol nặng do sử dụng thuốc quá liều kéo dài.
Mới đây, một thai phụ mang song thai nhưng một thai bị dị dạng và phải chấm dứt giữa thai kỳ. Tuy nhiên các bác sỹ Bệnh viện Từ Dũ Thành phố Hồ Chí Minh ...


