Bệnh nhi bị nhiễm khuẩn nặng do bị lợn cắn
| Nhiều con ve rận ký sinh trong tai bệnh nhi 6 tuổi Bệnh nhi 6 tháng bỏng thực quản do uống nhầm thuốc trị mọn cóc Áp dụng lọc máu liên tục để cứu sống bệnh nhi sốc nhiễm khuẩn |
Theo thông tin từ gia đình, trong thời gian ở nhà với ông bà do bố mẹ đi làm xa, bệnh nhi đã bị lợn nuôi cắn vào đầu gối phải. Gia đình chủ quan không sát khuẩn hay đưa cháu đi khám. Bảy ngày sau, cháu sốt cao, vết thương sưng đỏ. Tại bệnh viện tuyến dưới, bệnh nhi diễn biến nặng, sốc nhiễm khuẩn nên phải chuyển tuyến gấp.
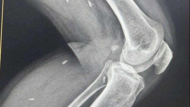
Kết quả thăm khám và xét nghiệm cho thấy cháu bị nhiễm vi khuẩn tụ cầu vàng, đường vào là vị trí bị lợn cắn (tên khoa học: Staphylococcus aureus), kèm tổn thương hai xương đùi, viêm xương đùi phải, áp xe cơ, viêm phổi, tràn dịch màng. Sau 20 ngày điều trị, bệnh nhân có giảm sốt nhưng vẫn đau nhiều khớp háng hai bên, không đi lại được nên tiếp tục chuyển tuyến đến Bệnh viện Bệnh Nhiệt đới Trung ương.
Tại đây, bệnh nhi được chẩn đoán: Nhiễm khuẩn huyết do tụ cầu vàng có viêm xương tủy- áp ce cơ- viêm phổi màng phổi, sau 11 ngày điều trị bằng kháng sinh đặc hiệu và phục hồi chức năng, cháu đã giảm sốt, hết tràn dịch màng phổi và có thể đi lại. Các tổn thương ở xương vẫn cần tiếp tục điều trị và theo dõi dài hơn nhưng hiện nay chưa phải can thiệp ngoại khoa.
![]() |
| Với những trường hợp đã được chẩn đoán nhiễm tụ cầu vàng, cần tuyệt đối tuân thủ điều trị, dùng đúng loại và đủ liều kháng sinh theo chỉ định để tránh nguy cơ kháng thuốc và biến chứng nặng. |
Bác sĩ Bùi Hiền – khoa Nhi, Bệnh viện Bệnh Nhiệt đới Trung ương cho biết: nếu tiếp tục đáp ứng tốt với phác đồ điều trị, khoảng 6–8 tuần bệnh nhi có thể xuất viện.
Theo bác sĩ, vi khuẩn tụ cầu vàng (tên khoa học là Staphylococcus aureus) là vi khuẩn có độc lực cao, khả năng kháng nhiều loại kháng sinh, nếu người bệnh không được chẩn đoán và điều trị đúng dễ gây các biến chứng nặng nề, có thể dẫn đến tử vong.
Vi khuẩn Staphylococcus aureus bình thường cư trú trên da và niêm mạc; khi gặp điều kiện thuận lợi như vết thương hở, vệ sinh kém hoặc sức đề kháng yếu, chúng có thể xâm nhập vào cơ thể gây nhiễm khuẩn khu trú như viêm mô bào, áp xe cơ, nặng hơn thâm nhập vào máu gay nhiễm khuẩn huyết và tổn thương đa cơ quan…
Với những trường hợp đã được chẩn đoán nhiễm tụ cầu vàng, cần tuyệt đối tuân thủ điều trị, dùng đúng loại và đủ liều kháng sinh theo chỉ định để tránh nguy cơ kháng thuốc và biến chứng nặng.



