Thứ bảy 24/01/2026 01:33
Hotline:
092.924.24.24
E-mail:
phapluattuoitre@gmail.com
Đọc báo giấy TTTĐ
Tuổi trẻ thủ đô online
Khởi nghiệp trẻ
congan.hanoi.gov.vn
Thời sự
Chính trị
Xã hội
Phân tích - Bình luận
Giới trẻ
Đoàn - Đội
Genz
Hot trend
Kinh tế
Thị trường - Tiêu dùng
Tài chính - Doanh nghiệp
Bất động sản
Pháp luật
An ninh trật tự
Bảo vệ người tiêu dùng
Nhịp cầu bạn đọc
Giải trí
Thể thao
Văn hóa
Du lịch
Tri thức
Khoa học - Công nghệ
Giáo dục
Câu chuyện học đường
Sức khỏe
Tin Y tế
Khỏe - Đẹp
Y học bốn phương
Video
Cộng đồng mạng
Cười
Khám phá
Trang chủ
/
Tags
/
kén sán
kén sán
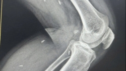
Phát hiện nhiều kén sán trong chân bệnh nhân
Trung tâm Y tế khu vực Thạch Hãn, tỉnh Quảng Trị cho biết, vừa ghi nhận trường hợp bệnh nhân với nhiều kén sán ở chân.
Đọc nhiều
“Tích xanh” không bảo chứng - bẫy mua vàng online
Rộn ràng "Lời ca dâng Đảng" tại chợ hoa Xuân Định Công
Yên Hòa khai mạc giải thể thao Mừng Đảng - Mừng Xuân, tạo khí thế thi đua đầu năm
TRỰC TIẾP: Chương trình nghệ thuật đặc biệt “Dưới lá cờ vẻ vang của Đảng”
Đảng ủy xã Hồng Vân long trọng tổ chức Lễ trao Huy hiệu Đảng
Chuyên đề
[Xem thêm]
BẦU CỬ ĐBQH VÀ HĐND KHÓA MỚI
MỪNG XUÂN NĂM 2026
ĐẠI HỘI XIV CỦA ĐẢNG
CÁC NGHỊ QUYẾT TRỤ CỘT
KỲ HỌP THỨ 10, QUỐC HỘI KHÓA XV
Thời sự
Giới trẻ
Kinh tế
Pháp luật
Giải trí
Tri thức
Sức khỏe
Video
Based on MasterCMS - Ultimate edition V2.9 2025
Phiên bản di động