Nam thanh niên đem xăng đốt tiệm cầm đồ
Nam thanh niên tay bật quẹt lửa, tay cầm can xăng xông vào tiệm cầm đồ ở quận 9. Trong phút chốc, lửa bùng cháy, thiêu rụi nhiều tài sản của tiệm.
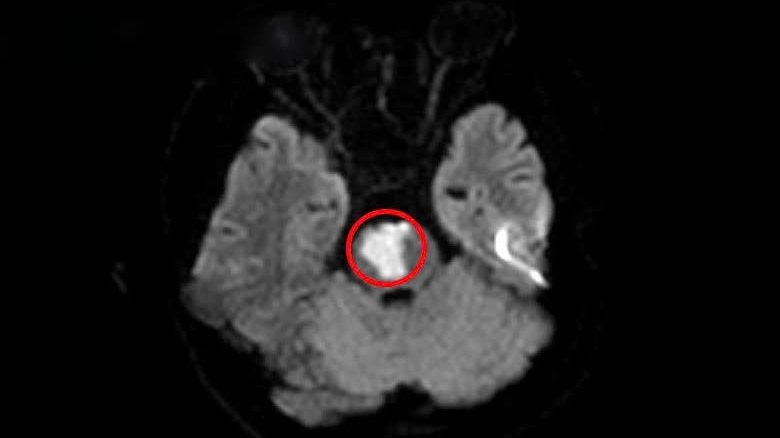
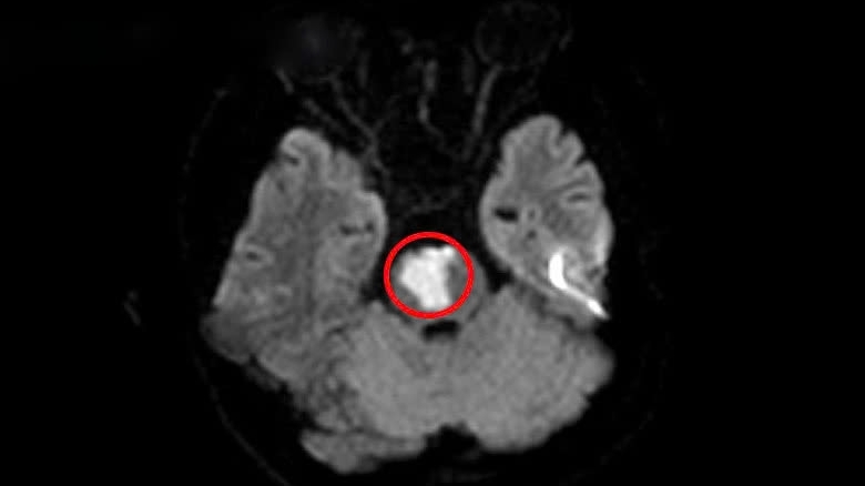
| Thanh niên 17 tuổi mắc kẹt trong đám cháy căn nhà 5 tầng trên phố Núi Trúc Chỉ trong 55 giây cặp đôi cuỗm gọn tài sản trị giá 200 triệu đồng Ngộ độc ma túy đá, nam thanh niên bị xuất huyết não |
Phạm Mạnh
Theo VNE


